Giriş
Hatırla
Üye Ol
Gebe Soru Cevap
Ana Sayfa
Sorular
Cevapsız
Kategoriler
Üyeler
Bir Soru Sor
Gebelik dışı Soru&Sohbet
Bebek Bakımı
Bir Soru Sor
Ramzi teorisini bilenler bakabilir mi
–1
oy
239
göst.
7 Mayıs 2022
Hamilelik Dönemi Genel
kategorisinde
ozgee1
(
2,617
puan)
sordu
7 Mayıs 2022
Ays3min
kapalı
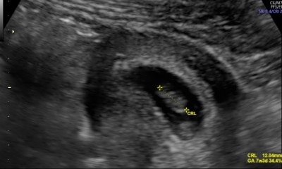
7+3 haftalık görüntüsü ramzi teorisini bilenler yorumlayabilir mi
Kapatılma nedeni:
Sohbet amaçlı açılan konular yasaktır. Menüden gebelik dışı konular için ayrılmış alanda konunuzu açabilirsiniz..
gebelik
ilk-gebelik
1
cevap
0
oy
7 Mayıs 2022
Safiyebeyza
(
115
puan)
cevapladı
Hayırlı olsun bebisiniz benimkiyle pozisyonu aynı bende 7 artı 3 üm erkek diye biliyorum
7 Mayıs 2022
Maksudee
(
31
puan)
yorumladı
Ramzi teorisi nedir acaba
7 Mayıs 2022
Safiyebeyza
(
115
puan)
yorumladı
Bebegin kesedeki pozisyonuna göre cinsiyet belirleme teorisi
10 Mayıs 2022
Maksudee
(
31
puan)
yorumladı
Yaa bunu bilmiyordum rica etsem bana da bakar mısınız?
Lütfen yorum eklemek için
giriş yapınız
veya
kayıt olunuz
.
-Reklam-
Hadi sende yardım et cevapsız soruları bitirelim
İlgili sorular
–2
oy
2
cevap
231
göst.
Kızlar cinsiyet için ramzi teorisini ultrason fotoğrafıyla yorumlayabilen var mı
1 Mayıs 2023
Hamilelik Dönemi Genel
kategorisinde
Mila.
(
38
puan)
sordu
0
oy
0
cevap
218
göst.
kızlar ramzi teorisini bilen ve yorumlayan var mı aranızda ? kaç kişinin doğru çıktı ...
8 Mart 2022
Hamilelikte Bebek Sağlığı
kategorisinde
MLK350MLK
(
99
puan)
sordu
#cinsiyet-gebelik
gebelik
ilk-gebelik
ramzi-teorisi
0
oy
0
cevap
215
göst.
Ramzi teorisini bilen varmi
14 Ocak 2021
Doğum
kategorisinde
Lorinaz.
(
6
puan)
sordu
#cinsiyet-gebelik
0
oy
3
cevap
375
göst.
Ramzi teorisini duyan war mi
7 Şubat 2020
Hamilelik Dönemi Genel
kategorisinde
Civcivim
(
4
puan)
sordu
Kategoriler
Tüm kategoriler
Doğum
(87,992)
Hamilelik Dönemi Genel
(435,667)
Hamilelikte Anne Sağlığı
(65,918)
Hamilelikte Bebek Sağlığı
(61,337)
Hamilelikte Beslenme
(7,687)
Hamilelikte Güzellik
(2,606)
Hamilelikte Spor
(503)
Hamilelikte Testler
(23,748)
Hamilelik Alışveriş
(10,750)
Hamile Kalamama
(15,892)
Tüp Bebek
(2,927)
1,480,786
soru
24,229,086
cevap
339,051
kullanıcı
...