0 oy
1,312 göst.
Hamilelikte Anne Sağlığı kategorisinde (26 puan)

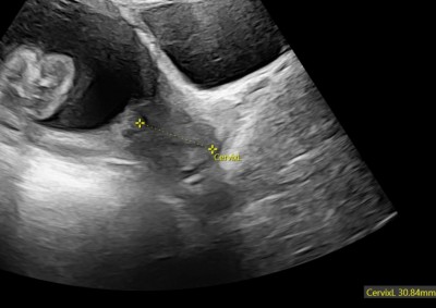
Merhaba hanımlar 19 haftalıkken rahim ağzı uzunluğum 40 mm di. Bugün 23 haftalık kontrolde doktora bakar mısınız dedim ölçtü 31 mm çıktı sıkıntı yok dedi ama panik oldum normal mi?  Çok düzgün ölçüm gelmedi bana

image

Gebelik haftası 23+1

4 Cevap

0 oy
(307 puan)
Merhabalar ben de 21+4 hamileyim. 3cm çıktı benimde uzunluğum. Doktor sıkıntı yok sadece kontrol altında tutmak istiyorum 4 haftada 1 değil 3 haftada 1 gel kontrole dedi. Ben de sizim gibi emim olamadım doktoruma çok güvenmeme rağmen başka bir doktora daha gittim. O da sıkıntı yok şu an sadece çok uzun süre ayakta kalma dedi. Sizin doktorunuz ne dedi acaba
(26 puan)
Bana da sıkıntı yok 4 hafta sonra gel dedi. Kasık ağrın lekelenmen olursa hemen haber ver dedi. Bende başka doktordam randevu aldım. Bu uzunluk degisebiliyormuş.
(307 puan)
Gittiğinizde bana da haber verebilir misiniz? Bende ağrı değil de ara ara gaz sancısı gibi oluyor
(26 puan)
Tabi ki veririm.Size ilaç verdi mi?
(26 puan)
Diğer doktor kaç ölçtü?
(307 puan)
Yok vermedi ilaç size verdi mi? Diğeri de 30.7 ölçtü
(26 puan)
Bana da vermedi. İnternette 35 mm olması gerekir diye okuyunca panik oldum.
(307 puan)
Bana da vermedi. Bir de burada okuyunca bir şeyleri iyice korktum. Çarşamba günü randevum var detaylı ultrasonda yine ekstra bir şey denilirse size haber verirrim. İrtibat halinde olalım doktorlarımızın dediklerini aktarırız
(26 puan)
Çok sevinirim
(48 puan)
Merhaba acaba sağlıkla kaçıncı haftada digum yaptiniz
-Reklam-
0 oy
(132 puan)
25 mm ve üstü normaldir
0 oy
(936 puan)
Uzandığın dinlendiğin zaman bir ayda 4 cm falan uzuyor   30 mm üstü normal 
0 oy
(598 puan)
42 çıkmıştı 22. Haftada

İlgili sorular


1,486,332 soru

24,299,808 cevap

343,989 kullanıcı

...